ブログ記事
- 人気記事
- 新着記事
1,000件中 71-80件を表示
- すべてのユーザー
イケオジって変換したら「逝け叔父」だった件2025年11月17日古びた日記帳 ~錆びた骨の砕屑~・・・… そのままの生き様なのであります(何 さて、タイトルにあるのはネタでもなんでもなく、たまたまイケオジと入力したら予測変換に第一候補として表示され・・・
チェンソーマンポップアップショップと大交流展行ってきた♡2025年10月13日さらぽむ日記 ~青天の霹靂編~・・・ゃんと飾ってありました天使もなぜかのびしてて可愛いネコっぽい少しだけ原画パネルの展示が(展示とデンジと天使でスマホ予測変換が混乱中w)この一番上の・・・
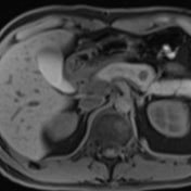
悪あがき1 2025/82025年08月24日膵SPNの記録タイに戻ってきてからはいつも通りの生活になっている。だけど、スマホの予測変換で、「す」と入力すれば「膵腫瘍」って出てくるし、「ち」と入力すれば「中央切除・・・
勘違い、言い間違い、聞き間違いシリーズ②2024年01月10日山本ゆりオフィシャルブログ「含み笑いのカフェごはん『syunkon』」Powered by Ameba・・・;と言います。 >>なかやまきんに!!笑 ちなみに「ナオトイン」まで検索すると「ナオトインティラミス」予測変換で出てきます。 うちの炊・・・
映画好きなのですが⁉️なんでもありの①2025年12月07日sugimoto7027のブログパージ・アナキー予測変換が凄すぎて驚愕🫨のパージアナキーまぁ2作目な作品だったんですけどーまぁなんでもありの24時間をいかに切り抜けるかの庶民の抵抗・・・
5335日目 12月07日2025年12月06日テレビマニアのアナログブログ データベース モノクロ版・・・―――――――――――5335日目 12月07日みなさん、おはようございます。テレビマニアです。 ≪第2608回 予測変換ワード≫ 今回は「ゆへ」・・・
『時透無一郎』と『不死川実弥』2025年12月03日お話しましょ~アンジュ2世のブログ~・・・で見に行った弟にプレゼントしようと決めもうひとつは記念で手元に置くことにしたちなみに長髪キャラの方は最初の三文字で予測変換候補に挙がりましたこっち・・・
【12日目】ナイアガラの滝(カナダ側)2025年11月01日99days おかわり!・・・トに向かうフライト待ちのラウンジにてコーラを飲み溜めているニホンコクミンです(飲み溜めるという日本語は無いらしい→予測変換に出てこず笑)今回エジプ・・・
番外編#42025年09月20日既婚者の呟き・・・、息子からも、チクビたってるよ、って言われました。イ…ameblo.jp『番外編#3』普段使っている漢字は優先的に予測変換してくれる‥ちょー便利機・・・
いつまでおるん?2025年09月16日人生適当ども。(・Д・)ヒカちゃんです。予測変換に顔文字が出てこなくなりました。どこ行った? ←知らんがな。8月の月末の週末に風邪を引き2~3日熱が出て喉が・・・
一般ブログ
4件中 1-4件を表示













